Blanqueamiento Dental Laser |Tipos y Precios en Tacna Perú 2024

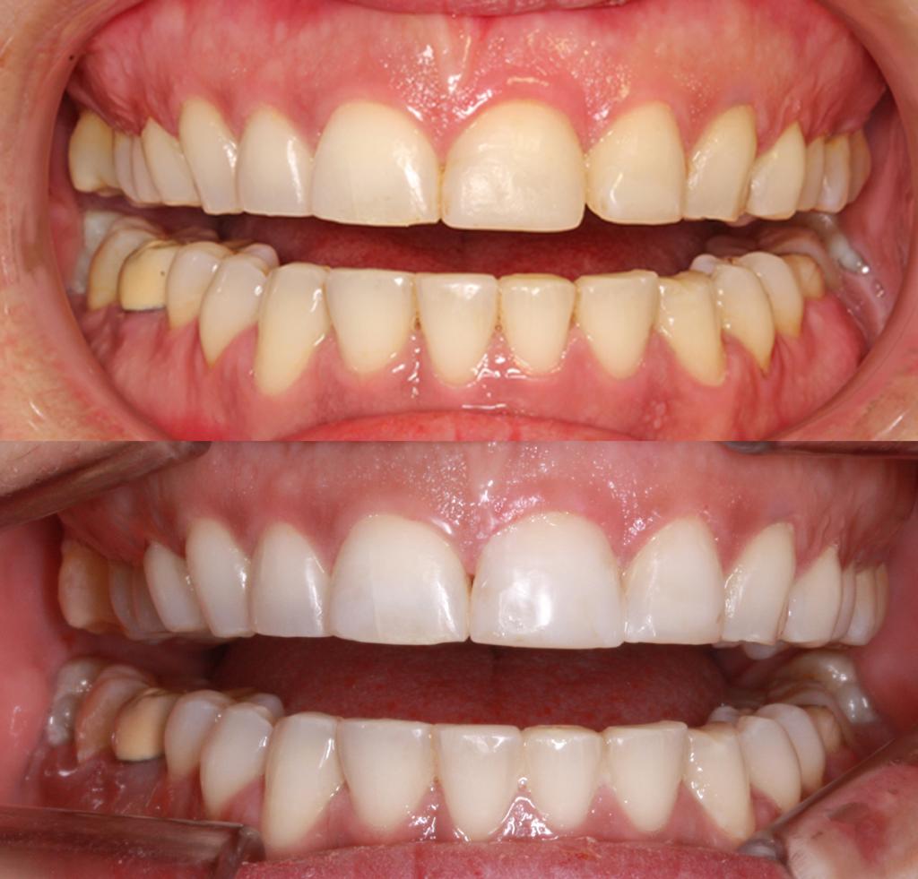
Hoy gracias al blanqueamiento dental podemos aclarar en varios tonos la dentadura y en tan solo una hora. El sistema de clareamiento dental profesional es un procedimiento sencillo e indoloro, y lo mejor de todo podemos disfrutar de los resultados por muchos años.

Lo más notable es la seguridad de su aplicación y sobre todo es uno de los tratamientos más predecibles de la odontología estética.

En nuestra clínica somos especialistas en Estética dental , si desas mayor información escríbenos en nuestro whatsapp 

+51982236837

✅Beneficios y ventajas del blanqueamiento dental láser

Como hemos comentado, el blanqueamiento dental con láser ofrece numerosos beneficios y ventajas para la estética de tu sonrisa.

  • Es un procedimiento inocuo y mínimamente invasivo. No es un tratamiento doloroso ni requiere de anestesia.
  • Los resultados se empiezan a observar desde el primer momento. Tras una sola sesión la estética de tu sonrisa habrá mejorado y tus dientes estarán más blancos y brillantes.
  • Gracias al empleo de la lámpara de luz fría, se consiguen mejores resultados y se prolonga la duración de los mismos en el tiempo.
  • No daña el esmalte. Al contrario de lo que se piensa, el blanqueamiento dental limpia la superficie del esmalte retirando los pigmentos que se han ido impregnando en los dientes. Tras el tratamiento, el esmalte queda intacto, ni se estropea ni se daña.
  • Cuida la salud bucal. El blanqueamiento dental profesional es un tratamiento efectivo a corto y largo plazo, y los pacientes tienden a mejorar su higiene bucal para cuidar de sus dientes más blancos.
  • Mejora la imagen y la confianza en uno mismo. Una sonrisa apagada puede afear el conjunto de la imagen. Por lo tanto, una sonrisa blanca y brillante aporta luminosidad al rostro y mejora la apariencia. Esto aumentará tu confianza y seguridad.

✅¿Qué tipos de blanqueamiento ofrecemos en Clínica Dental Dento Tacna?

En nuestra clínica ofrecemos distintos tipos de tratamientos blanqueadores según sea el tipo de diente que necesitamos blanquear

🔘Blanqueamiento dental en clínica con luz LED

El blanqueamiento dental con luz led se realiza exclusivamente en la clínica dental. Se aplica un gel de mayor concentración que el que se utiliza en casa y además se aplica una luz que potencia el efecto blanqueador del gel. El tratamiento se realiza en una sola sesión de una hora de duración, consiguiéndose unos dientes más blancos de forma cómoda y rápida

🔘Blanqueamiento dental en casa

En este tipo de blanqueamiento dental se toman unos registros de la boca que se quiere blanquear y con estos registros se confeccionan unas férulas muy finas y cómodas que se colocan en casa y que previamente han sido rellenas con el gel blanqueador que le proporcionamos en la clínica. Estas férulas las han de llevar entre unas 6 y 8 horas diarias para conseguir el efecto blanqueador de los dientes. El tratamiento dura entre 2 y 4 semanas y se consiguen unos resultados excelentes.

🔘Blanqueamiento dental mixto

Se combinan los dos tipos de tratamientos de blanqueamiento dental anteriores. Se usa en dientes con una coloración muy oscura y donde queremos conseguir un gran efecto blanqueador.

🔘Blanqueamiento dental interno

Usados en aquellos casos de dientes endodonciados que se han oscurecido debido al tratamiento endodóntico. Se aplica un gel en el interior del diente y se deja actuar hasta conseguir eliminar la tinción que ha producido la endodoncia. Normalmente son necesarias varias sesiones para conseguir eliminar dichas tinciones.

✅¿Cuánto dura el blanqueamiento dental láser?

Una vez realizado el blanqueamiento, la duración de los resultados dependerá de las rutinas de y higiene y de las pautas de alimentación del paciente.

Y es que debes saber que hay ciertos alimentos que contribuyen a teñir el esmalte dental. Éste es el caso de bebidas como el vino tinto, el té, el café y alimentos como, por ejemplo, los frutos rojos.

Además, otros hábitos como, por ejemplo, fumar inciden negativamente a la hora de conservar el blanco de tu sonrisa.

Por este motivo, podemos afirmar que un paciente que tenga unas buenas rutinas de higiene dental y no sea fumador verá cómo los resultados de blanqueamiento dental podrán prolongarse de por vida.

 

✅¿Cuál es el valor del blanqueamiento dental?

El precio del blanqueamiento realizado en el consultorio con una lámpara LED potente es de aproximadamente 200 soles. Del mismo modo, se puede realizar mediante cubetas y se aplica el gel blanqueador en casa (blanqueamiento en casa), siendo su costo referencial desde los 200 soles.

Algunos especialistas recomiendan el blanqueamiento combinado, es decir COMBINAR el blanqueamiento en consultorio + el blanqueamiento en casa (uso de férulas nocturnas). Este sistema logra mejores resultados en casos rebeldes. Costo 380 soles.
 

Tipo de blanqueamiento*

Precio en soles

Precio en pesos chilenos aprox.

Blanqueamiento con cubetas

200 soles

50 mil pesos chilenos

Blanqueamiento LED – Láser

200 soles incluye limpieza

50 mil pesos chilenos

Blanqueamiento combinado **

380 soles incluye limpieza

95 mil pesos chilenos

Blanqueamiento interno***

150 por sesión (pieza)

37 mil pesos chilenos

 

 

01 Jul

Publicaciones

▷Especialistas en Prótesis Dental Tacna| Removible y Fija | Tipos y Precio 2024

La finalidad de la Prótesis Removible es sustituir algunos o todos los dientes perdidos de forma rápida y económica, recuperando la masticación y la estética bucal del paciente.

29 Jun

Publicaciones

▷Especialistas en Gingivectomía Laser Tacna| Precio 2024

28 Jun

Publicaciones

Blanqueamiento Dental Laser |Tipos y Precios en Tacna Perú 2024

Blanqueamiento Dental |Tipos y Precios en Tacna Perú 2024

06 Sep

Publicaciones

▷Especialistas en Endodoncia Tacna | Sistema Rotatorio | Precio 2023

27 May

Publicaciones

▷ Brackets Dentales en Tacna | Tipos y Precios

27 May

Noticias

▷Bichectomía en Tacna | Precio